Стоматология «Стамус» — экспертное медицинское сопровождение в любом районе Краснодара
Под этим брендом в столице Кубани работают 8 клиник, расположенных в разных районах города, что удобно для посетителей. Здесь можно воспользоваться всем спектром услуг современной стоматологии.
«Стамус» работает с 2007 года и сейчас позиционирует себя как семейная стоматологическая клиника, где профилактику и лечение проходят как взрослые, так и дети с самого рождения. Не случайно 80% новых пациентов приходят сюда по рекомендациям знакомых и родных.
В команду входят более 120 врачей всех стоматологических специальностей. Каждый специалист имеет высокую квалификацию и ежедневно решает сложные клинические задачи.
Лучшие мировые технологии — для пациентов
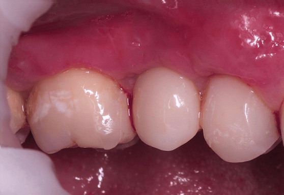
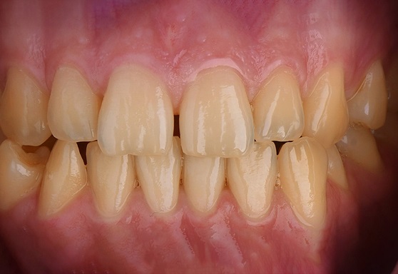
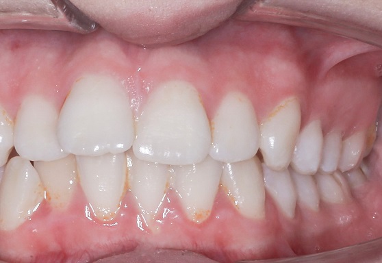
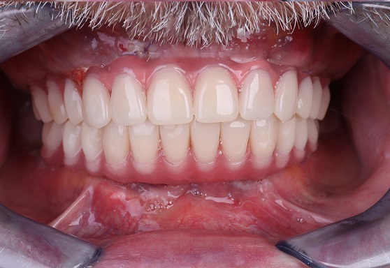
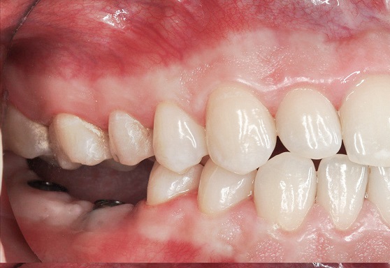
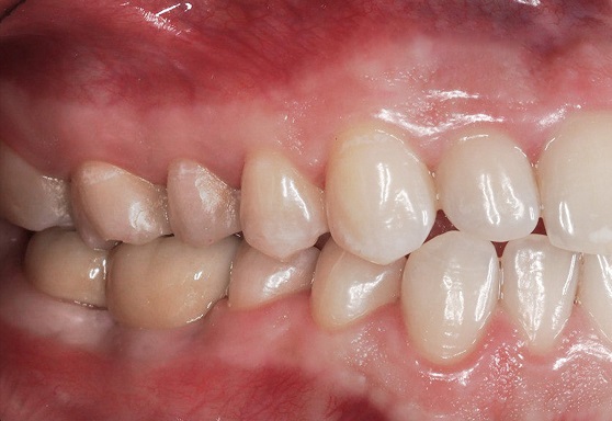
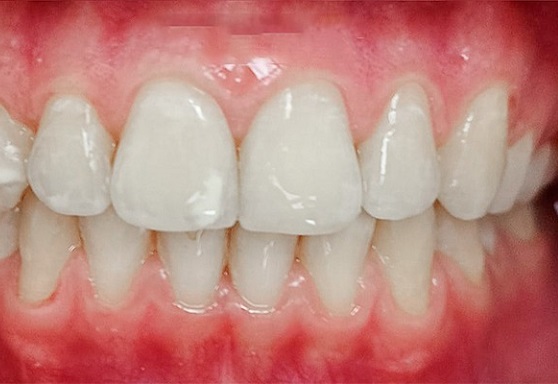
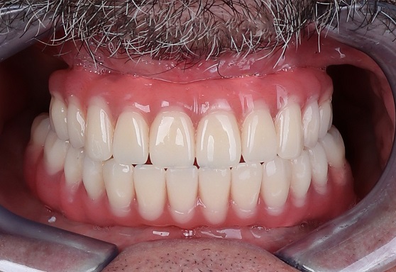
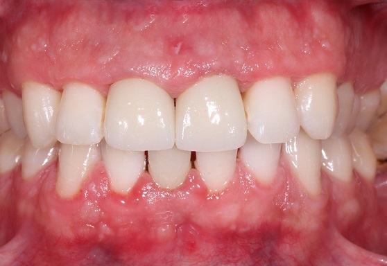
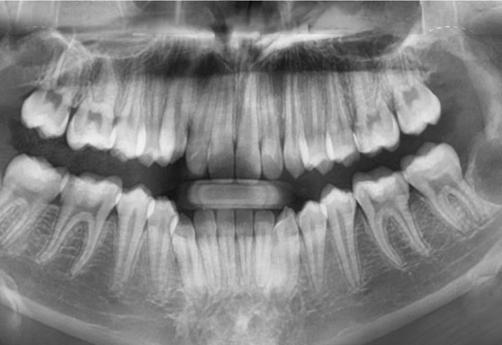
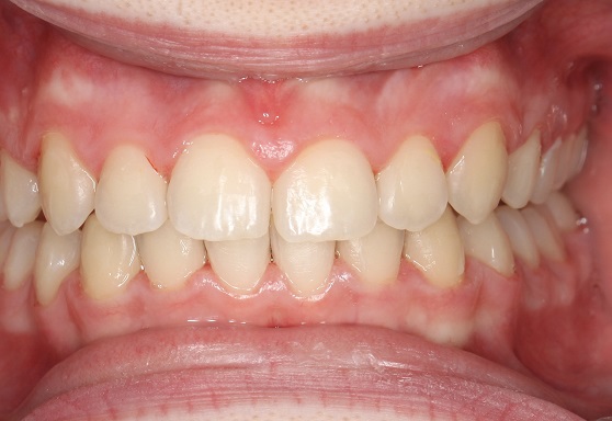
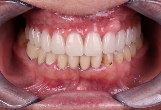
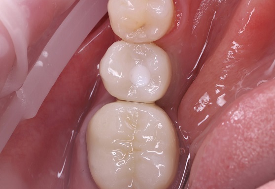
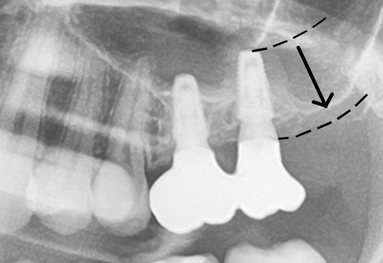
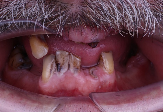
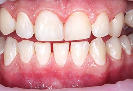
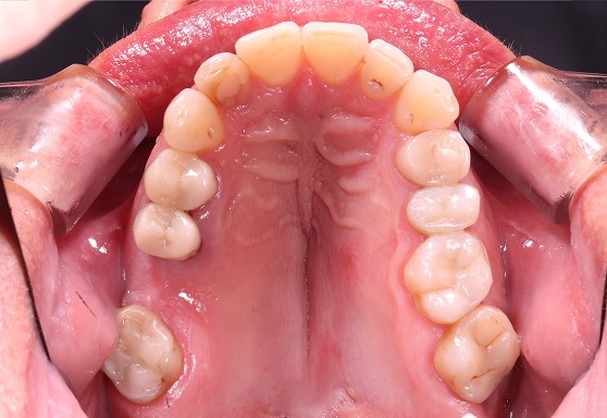
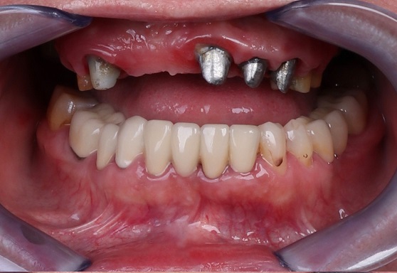
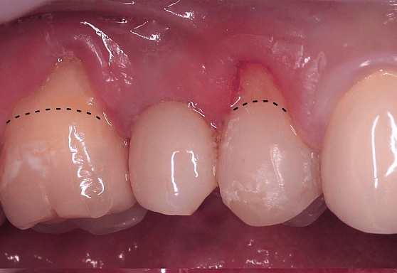
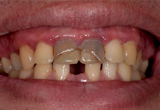
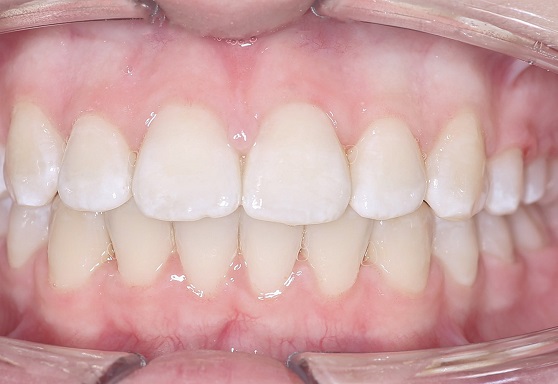
Лечение кариеса, художественная реставрация, эндодонтические манипуляции проходят с применением материалов последнего поколения. Имплантация проводится во современным протоколам — одно- и двухэтапному, одномоментному, All-on-4 и All-on-6. Для протезирования используются новейшие материалы — стеклокерамика E-Max, диоксид циркония. Одна из сильных сторон клиники — сложная челюстно-лицевая хирургия.
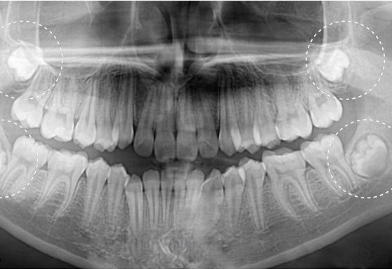
Оборудование подобрано самое современное:
- • дентальные микроскопы Leica, ALLTION, CJ-OPTIC, Zumax;
- • цифровой компьютерный томограф;
- • аппарат Zoom 4 для отбеливания зубов;
- • комплекс Air Flow Prophylaxis Master для профгигиены;
- • надежная система стерилизации инструментов.
В крупном детском отделении практикуют стоматологи высокого класса. Используются адаптивные методики для малышей. Есть специально оборудованные игровые комнаты. Лечение проводят с применением седации кислородно-азотной смесью и в наркозе — с безопасным препаратом «Севоран».
Основная ценность — понять каждого пациента
Профессионализм коллектива высоко ценят. «Стамус» на ул. Гимназической признана лучшей стоматологической клиникой Южного федерального округа по версии портала «ПроДокторов». Во многом этому способствовали положительные отзывы пациентов и грамотно выстроенная программа лояльности. Цены на услуги — прозрачные и предсказуемые, полная стоимость манипуляций рассчитывается заранее.
Клиника занимает активную общественную позицию — организовывает детские благотворительные акции, профессиональные конференции. С результатами и фото мероприятий можно ознакомиться на официальном сайте.
Отделения расположены в районе ТЭЦ (ул. Старокубанская, Мачуги), в центре (ул. Хакурате, Гимназической), в северной части города (ул. Средняя) и микрорайоне Музыкальный, а также улицах Черкасской и 1-го мая.
